Alors que les positions anti-vaccins de RFK Jr. deviennent toxiques pour le GOP, la directrice du CDC reste introuvable Les positions anti-vaccins de Robert F. Kennedy Jr. créent de plus en plus de pr...
Les bactéries développent une résistance accrue aux antibiotiques pendant les périodes de sécheresse
La résistance aux antibiotiques parmi les germes augmente pendant les sécheresses, selon une étude Les taux de résistance aux antibiotiques augmentent considérablement pendant les sécheresses, selon d...
La goutte d’eau – L’allié antivaccin de RFK Jr. démissionne avec colère d’un comité du CDC après une dispute Un éminent médecin spécialiste de la santé publique et allié de Rob...
Le choix MAHA de Trump pour le poste de chirurgien général vacille au milieu des doutes des républicains La nomination de Donald Trump pour devenir le prochain chirurgien général des États-Unis rencon...
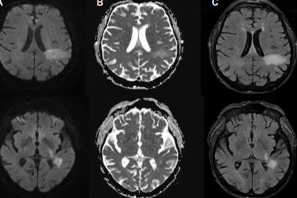
Vous êtes probablement déjà infecté par un virus mangeur de cerveau dont vous n’avez jamais entendu parler Il existe un virus dont la plupart des gens n’ont jamais entendu parler, mais qui...
RFK Jr. a démantelé plus d’un quart des panels d’experts du ministère de la Santé Robert F. Kennedy Jr., secrétaire à la Santé et aux Services sociaux, a dissous ou laissé expirer plus d&r...
La FDA établit un lien entre du fromage cru et une épidémie ; les fabricants « ne sont pas du tout d’accord » et refusent le rappel L’agence américaine des produits alimentaires et médicam...
Un juge bloque les modifications de RFK Jr concernant les directives vaccinales du CDC et son comité consultatif Un juge fédéral a temporairement bloqué vendredi les tentatives du ministre de la Santé...
Une femme éternue des asticots après que des larves de mouches se sont retrouvées piégées dans sa cloison nasale déviée Une femme a commencé à éternuer des asticots vivants après que des œufs de mouch...
Les vaccinations contre la rougeole ont augmenté de 291 % chez les adultes du Nouveau-Mexique pendant l’épidémie Les vaccinations contre la rougeole ont explosé chez les adultes au Nouveau-Mexiq...










